SỨC KHỎE
Ba người chết não hiến tặng 31 mô tạng, hồi sinh cho nhiều bệnh nhân 0
Cuối tuần qua, BV Việt Đức thực hiện liên tiếp ca lấy ghép tạng từ 3 người chết não, mang lại sự sống cho 8 bệnh nhân, cải thiện sức khỏe cho 6 người khác.
Trường Đại học Y Hà Nội được thành lập năm nào? 0
Đây được xem là trường đại học "cổ" nhất Việt Nam, ngoài các phòng thực hành, trường có cả bệnh viện là cơ sở thực nghiệm để sinh viên phát triển chuyên môn.
Nhiều bệnh truyền nhiễm gia tăng, Bộ Y tế siết chặt giám sát và kiểm soát dịch 1
Bộ Y tế cảnh báo nhiều bệnh truyền nhiễm tăng mạnh trong tháng 11, sự cộng hưởng của cúm mùa và viêm màng não làm gia tăng áp lực điều trị tại các cơ sở y tế.
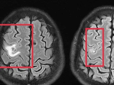
Đột quỵ khi đi vệ sinh lúc 2 giờ sáng 0
Người phụ nữ 75 tuổi méo miệng, yếu nửa người khi dậy đi vệ sinh lúc 2 giờ sáng, được gia đình đưa đến cơ sở y tế thăm khám và phát hiện nguy cơ đột quỵ.
COP11: Khi chiến lược kiểm soát thuốc lá cần thêm góc nhìn khoa học
Hội nghị COP11 của Công ước FCTC tại Geneva từng được kỳ vọng tạo dấu ấn cho chiến lược y tế toàn cầu. Tuy nhiên, sự kiện năm nay lại gây chú ý bởi những tranh luận liên quan đến cách WHO xử lý dữ liệu và cách tiếp cận đối với các quốc gia trong kiểm soát thuốc lá.
Điều trị nhiều lần ở châu Âu không khỏi, nam bệnh nhân bay từ Hà Lan sang Việt Nam để phẫu thuật nội soi 0
Người đàn ông Hà Lan bị khàn tiếng hơn một năm, điều trị nhiều lần ở châu Âu không khỏi, vừa phục hồi sau phẫu thuật Laser CO₂ tại một bệnh viện của Việt Nam.
Bàn tay đứt lìa của mẹ bầu được nối lại sau thời gian 'nuôi' ở chân 1
Sau hơn 2 tháng được ê-kíp bác sĩ “nuôi tạm” ở cẳng chân để bảo tồn mô và mạch máu, bàn tay bị đứt lìa của sản phụ mang song thai được nối trở lại vào tay.
Khẩn trương thu dung và cấp cứu nạn nhân mưa lũ tại miền Trung
Bộ Y tế yêu cầu các địa phương miền Trung triển khai ngay công tác thu dung, cấp cứu và hỗ trợ y tế kịp thời cho người dân bị ảnh hưởng bởi mưa lũ.
Đề xuất thêm 76 thuốc vào danh mục BHYT chi trả, nhiều nhất là thuốc trị ung thư 0
Bộ Y tế đề xuất bổ sung 76 thuốc mới vào danh mục bảo hiểm y tế chi trả, mở rộng quyền lợi, giảm chênh lệch tiếp cận giữa các tuyến.
700 chuyên gia y tế tham gia Hội nghị khoa học toàn quốc về Sốt xuất huyết Dengue 2025
Hội nghị khoa học toàn quốc về Sốt xuất huyết Dengue 2025 (Vietnam Dengue Summit – VDS 2025) diễn ra trong hai ngày 28 & 29/11, do Viện Pasteur Tp.HCM chủ trì.
‘Sống trọn vẹn 2025’: Chung tay đẩy lùi dịch bệnh AIDS
Ngày 28/11, Cục Phòng bệnh (Bộ Y Tế), Hội Phòng chống HIV/AIDS TPHCM, Trung tâm Kiểm soát Bệnh tật (Sở Y tế TPHCM) phối hợp Công ty TNHH Doanh nghiệp xã hội Bầu Trời Xanh tổ chức chương trình Sống Trọn Vẹn 2025 tại Nhà Văn hóa Thanh niên TPHCM, thu hút hơn 500 người tham gia.
Thiếu nước sạch kéo dài, Trạm Y tế Phổ Châu "xoay xở" bằng nước đóng chai
Dù được xây mới, đạt chuẩn quốc gia từ đầu năm 2025 nhưng Trạm Y tế Phổ Châu (phường Sa Huỳnh, Quảng Ngãi) đang phải đối mặt với nghịch lý thiếu nước sạch, khiến trạm phải mua nước đóng chai để rửa và khử khuẩn dụng cụ y tế.
Lần đầu tiên triển lãm quốc tế SIUF và triển lãm CBME đồng loạt ra mắt tại Việt Nam
Ngày 13/11, tại Trung tâm Hội chợ và Triển lãm Sài Gòn (SECC, TP.HCM), Hiệp hội Dệt may Việt Nam (VITAS), Hiệp hội Dệt may thời trang TP.HCM (AGTEK) và Công ty Informa Markets Việt Nam khai mạc loạt triển lãm quốc tế chuyên ngành dệt may và thời trang, diễn ra đến ngày 15-11.
Khoa Xét nghiệm – Chẩn đoán hình ảnh Bệnh viện Y học Cổ truyền TP.HCM đạt chuẩn ISO 15189:2022
Chiều ngày 11/11/2025, Bệnh viện Y học Cổ truyền TP.HCM đã long trọng tổ chức Lễ công bố Khoa Xét nghiệm – Chẩn đoán hình ảnh đạt chuẩn ISO 15189:2022, đánh dấu bước tiến quan trọng trong hành trình chuẩn hóa chất lượng xét nghiệm y tế theo tiêu chuẩn quốc tế.